Graves' disease - case 2151
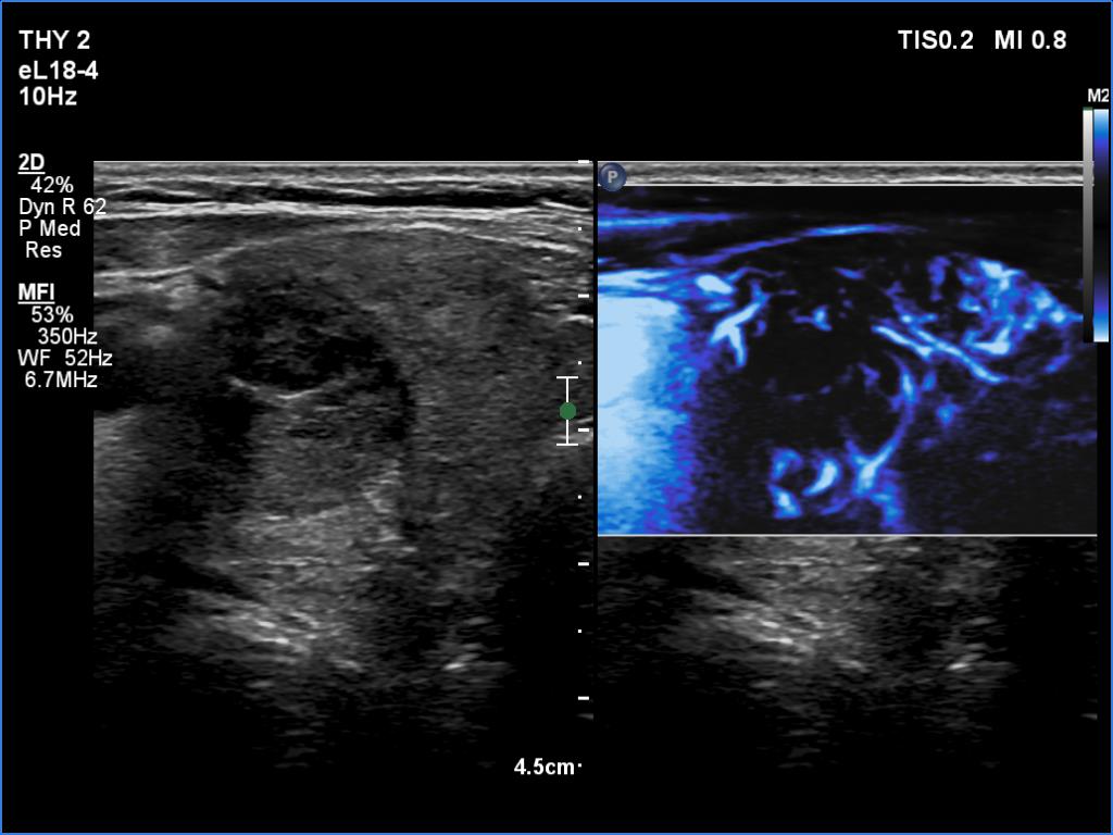
Three years after the first examination (ultrasonographic picture 5)
![]() |
![]() |
![]() |

Right lobe, transverse scan, microflow imaging. The lesion has significantly fewer vessels than the extralesional parenchyma.