Lymph nodes in the neck
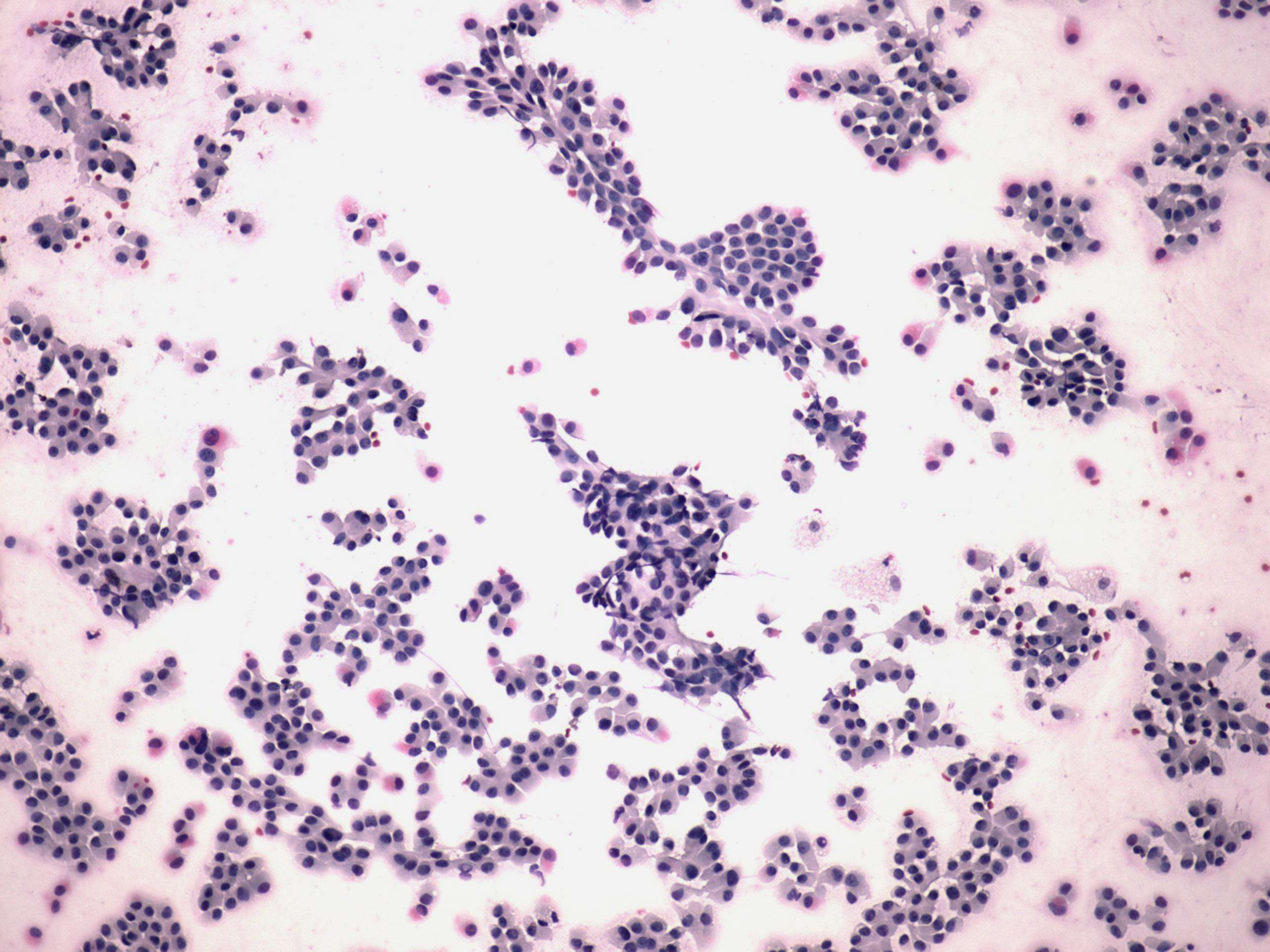
Pap-smear, 100x. A very cellular pattern. Epithelial cells are in loose clusters.