Menu
Home
2 Nodular goiter
3 Non-nodular thyroid
4 Non-thyroid neck
Lymph nodes in the neck
Cases
5 US-interventions
6 Advanced courses
Supplement
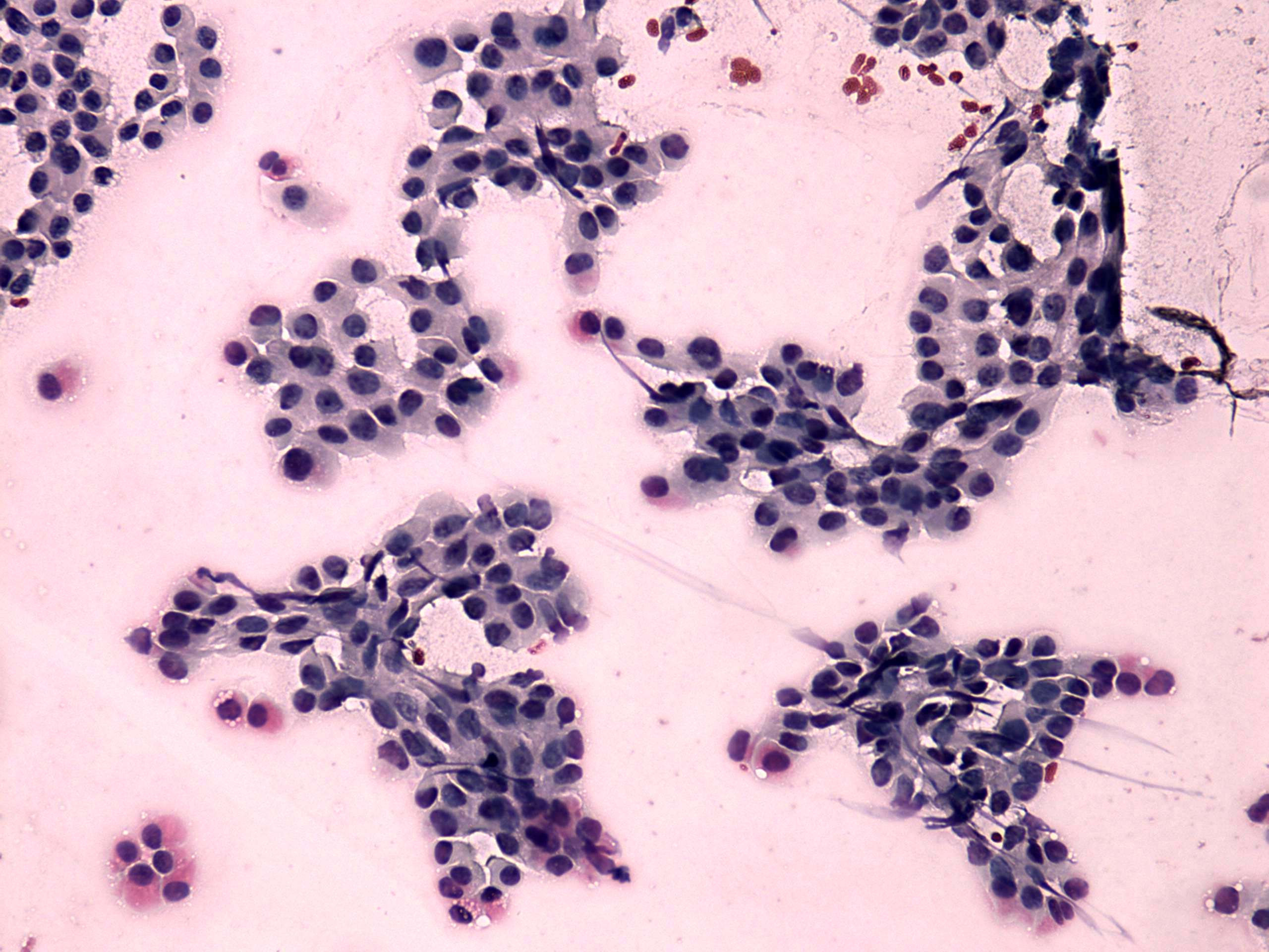
Lymph nodes in the neck - Case 1099 (cytologic picture 2)
Pap-smear, 200x. Epithelial cells presenting abundant cytoplasm.