Lymph nodes - case 1217 |
|
Clinical presentation: A 54-year-old man felt painless lumps in both sides of the neck 2 months ago. A week later similar lumps appeared in both axillae. He was referred for evaluation of lymph nodes. Except for the lumps, the patient had no complaints.
Palpation: There were multiple lymph nodes in both sides of the neck and in both axillae. Most nodes were not firm. The size ranged from 1 to 6 cm.
Functional state: euthyroidism with TSH 1.87 mIU/L, FT4 12.3 pM/L.
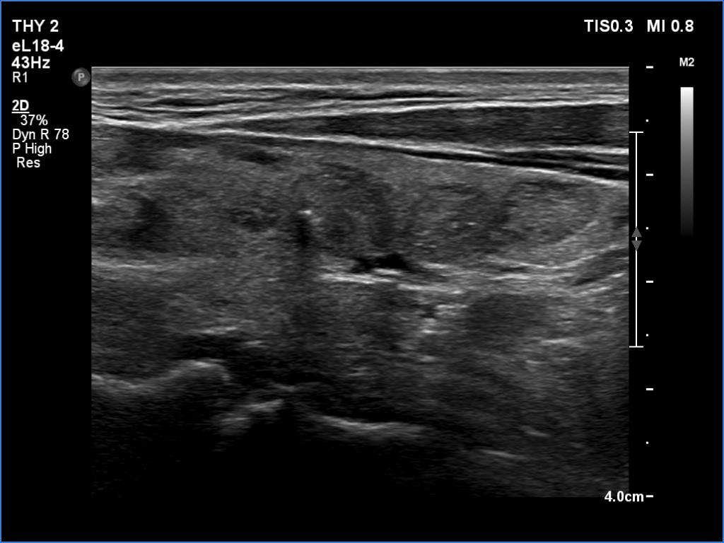
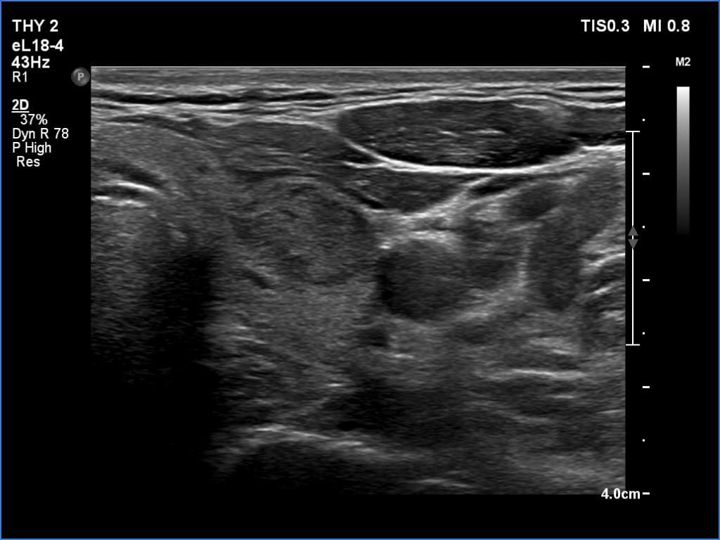
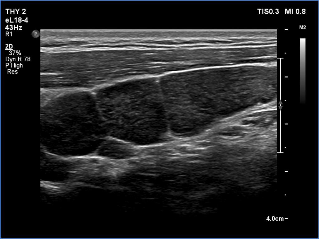
Ultrasonography. The thyroid was echonormal and had multiple minimally/moderately hypoechoic nodules. The lesion in the left lobe was remarkable due to lobulated margins. More than 10 lymph nodes larger than 1 cm in diameter were detected both in the right and the left side of the neck. Some had heterogenous pattern, most of them lacked regular hilum. The vascularity was varied from avascular to obviously irregular.
Laboratory tests: TSH 1.94 mIU/L. Number of lymphoid elements in the blood was 58G with the dominance of small lymphocytes.
Cytology resulted in benign colloid goiter and lymphoproliferative disease, nodule in the left thyroid lobe and lymph nodes, respectively.
The patient was referred to hematological department where a B-cell CLL was diagnosed.















