Lymph nodes - case 1675 (ultrasonographic picture 4)


Previous picture Back to Case Next picture

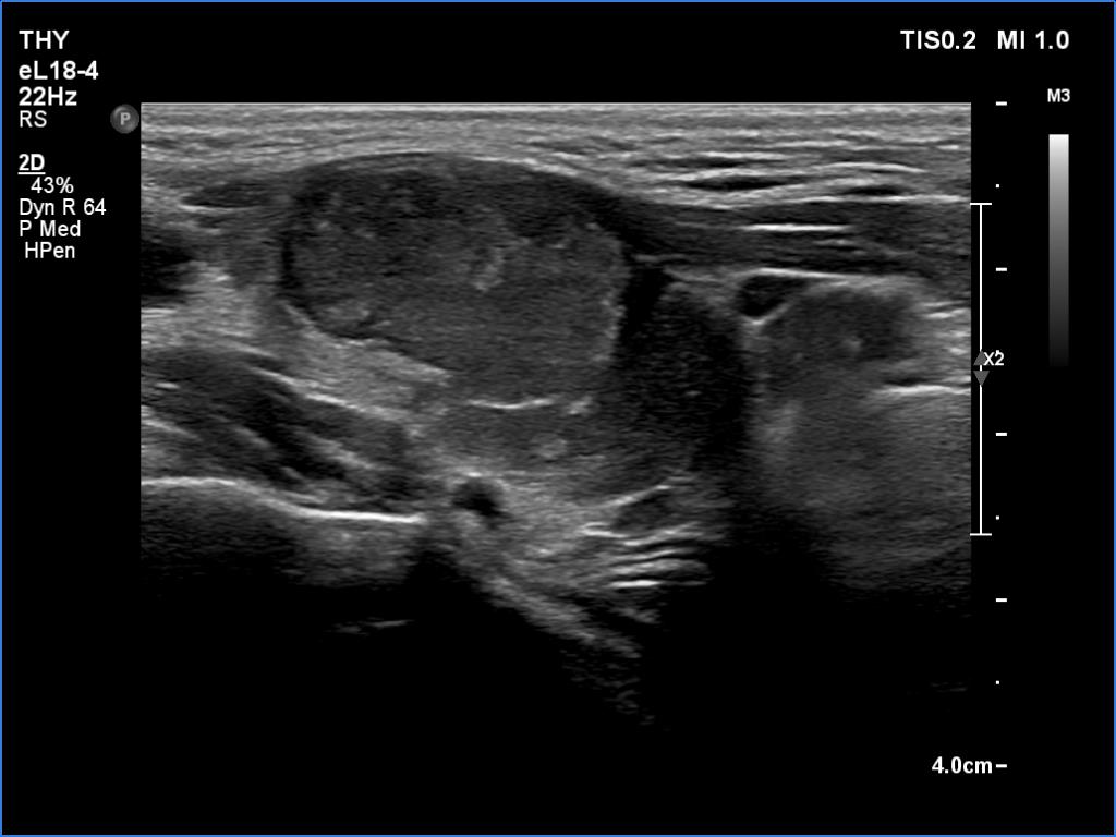
Right lobe, longitudinal scan

Lateral part of the right lobe, longitudinal scan. This nodule has irregular borders.

 

 

 

 

mask