Lymph nodes - case conp 011
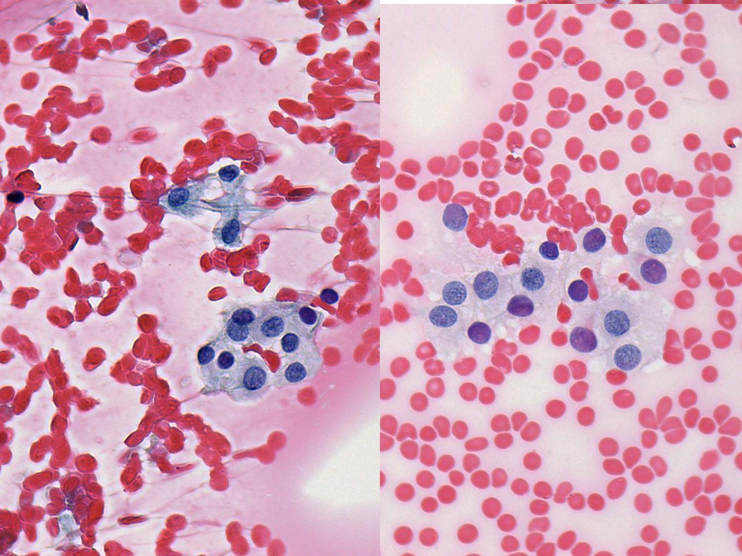
Follow-up investigation 17 months after the first visit (cytologic picture 3)
|
|
|
![]() |
|
Pap-smear, 400x. Follicular cells display moderate degree of anisonucleosis.

