Menu
Home
2 Nodular goiter
3 Non-nodular thyroid
4 Non-thyroid neck
Lymph nodes in the neck
Cases
5 US-interventions
6 Advanced courses
Supplement
Lymph nodes - case conp 011
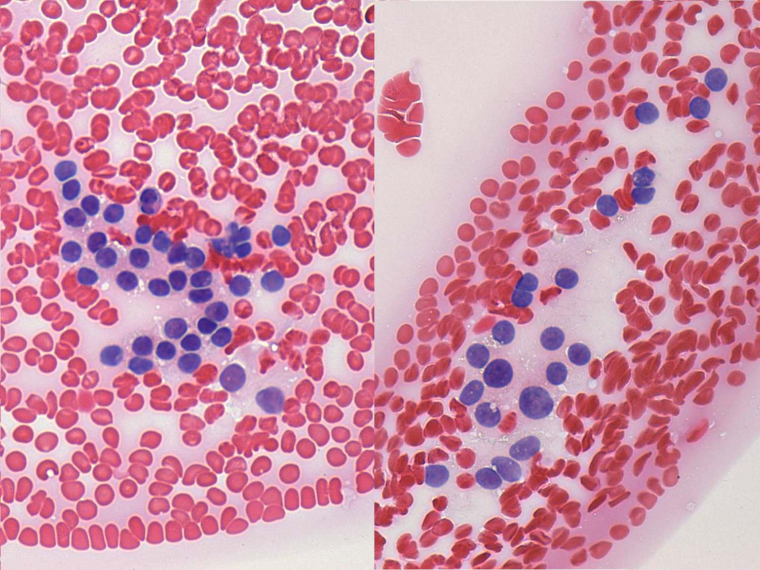
Follow-up investigation 17 months after the first visit (cytologic picture 4)
Pap-smear, 400x. Note cytoplasmic vacuolization.