Lymph nodes - case conp 058 (cytologic picture 4)


Previous picture Back to Case Maximize Next picture

Right lobe, longitudinal scan

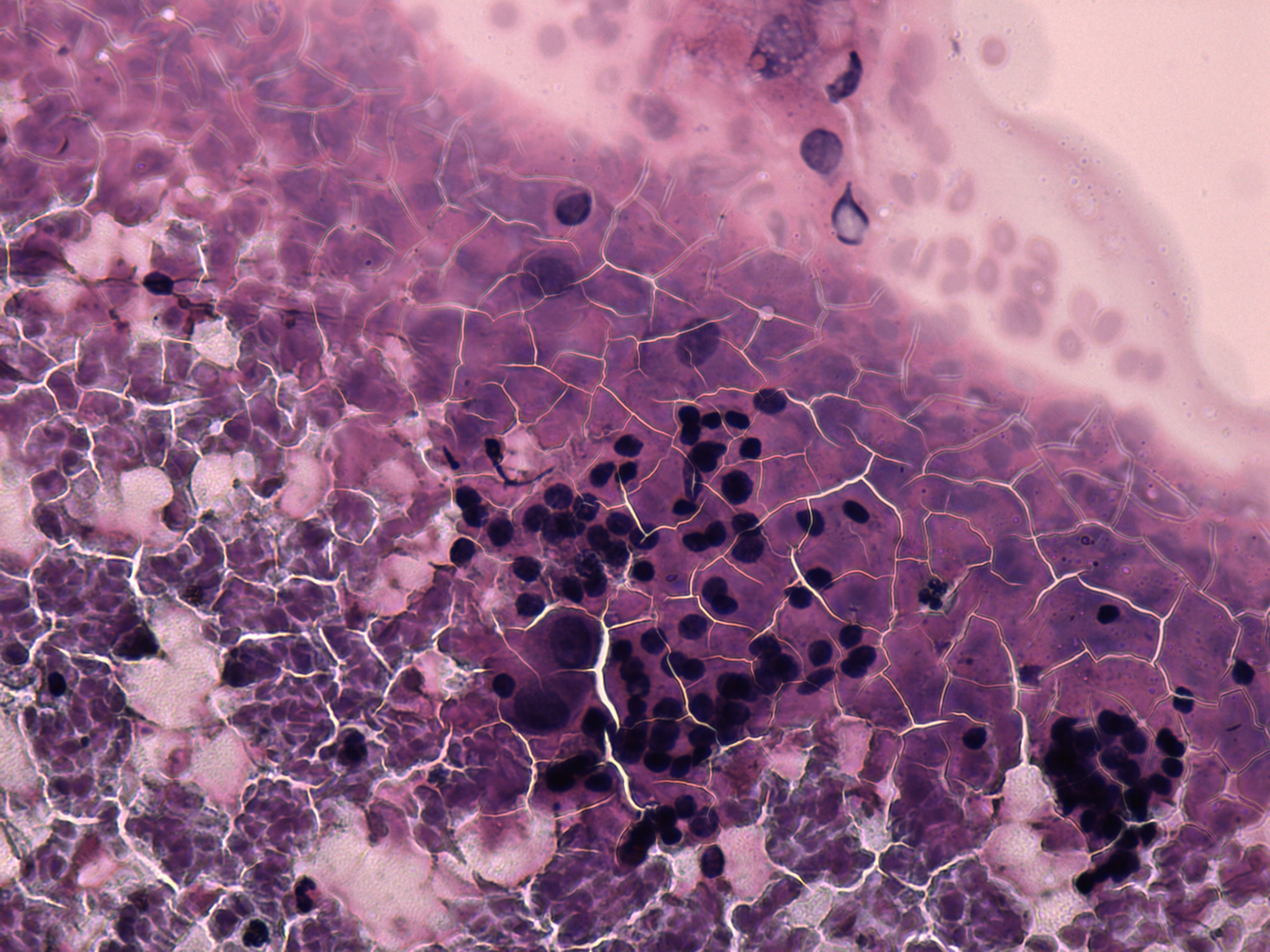
Pap-smear, 400x.   There is thick colloid in the background. Pyknotic nuclei predominate the cell clusters in the center of the image, however, two atypical, pleomorphic thyrocytes can be also observed.

mask