Lymph nodes - case conp 058 (cytologic picture 5)


Previous picture Back to Case Maximize Next picture

Right lobe, longitudinal scan

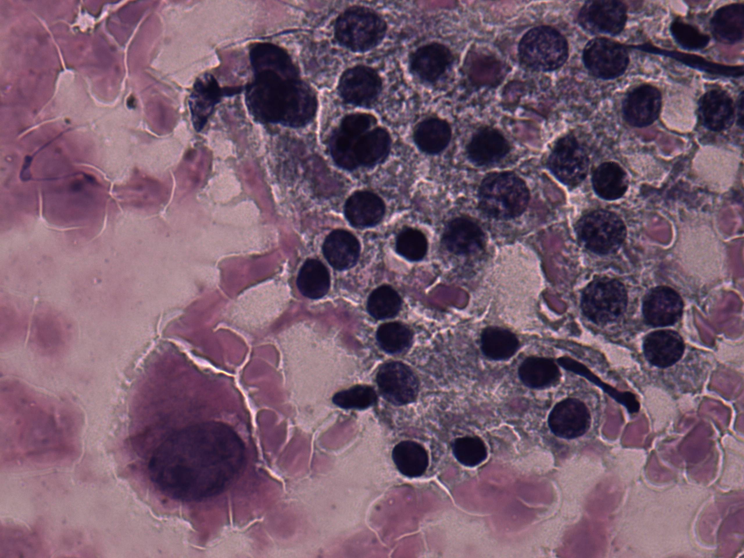
Pap-smear, 400x.   Note the difference between the solitary atypical cell and other thyrocytes.

mask