Parathyroid lesions - case 1521 |
|
Clinical data: A 44-year-old woman was referred for aspiration cytology of a cystic mass which was found on ultrasound examination. Ultrasound was performed as part of the evaluation of a newly diagnosed hypothyroidism 3 months ago.
Palpation: no abnormality.
Laboratory tests: TSH 2.71 mIU//L on daily 100 microgram levothyroxine.
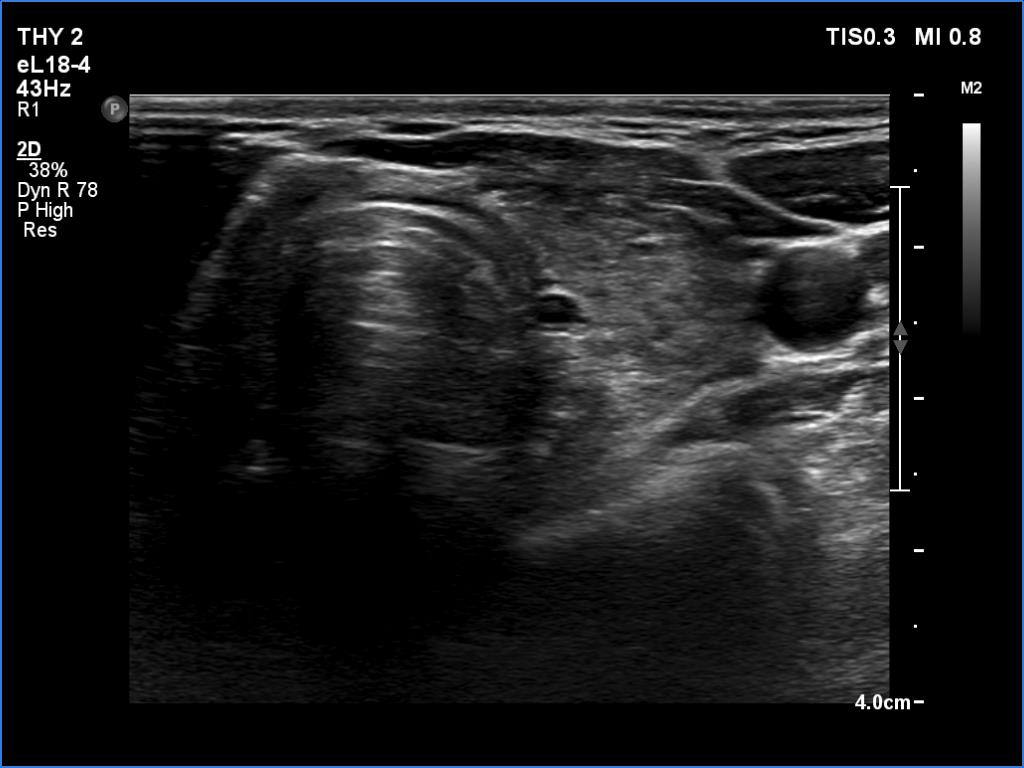
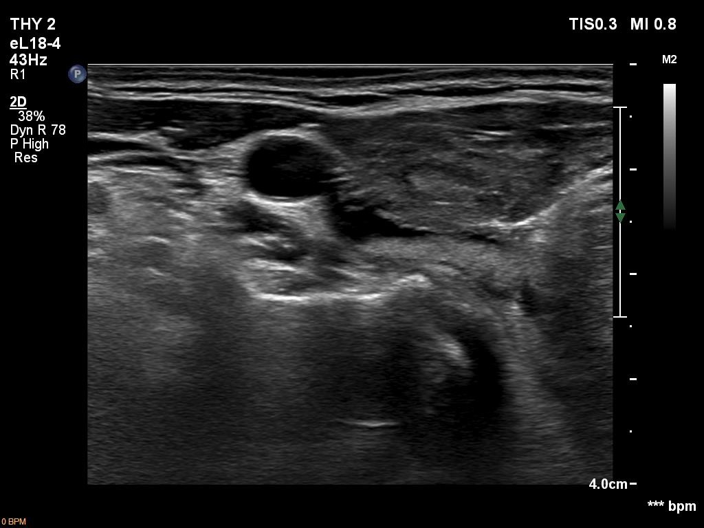
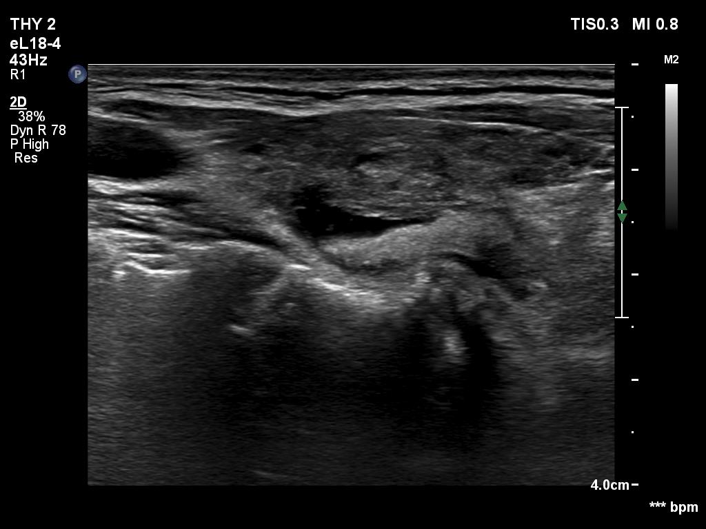
Ultrasonography. The thyroid was hypoechoic and presented several more hypoechoic and echonormal islets corresponding to the underlying thyroiditis. There was a mixed, dominantly cystic mass dorsal to the lower two-third of the right lobe. The lesion has echonormal solid part and showed intracystic echogenic figures.
On ultrasound-guided aspiration 2 mL light yellow fluid was aspirated and cytology resulted in cystic fluid only category.
Wash-out parathormone 1101 ng/mL, wash-out thyroglobulin 0.46 ug/L.
Additional tests: serum calcium 2.40 mM/L, phosphorus 1.18 mM/L, parathormone 41 pg/mL (normal value 12-88).
Final diagnosis: hypothyroidism and parathyroid cystadenoma.
Suggestion: ultrasound in a year.








