Menu
Home
2 Nodular goiter
3 Non-nodular thyroid
4 Non-thyroid neck
Parathyroid lesions
Cases
5 US-interventions
6 Advanced courses
Supplement
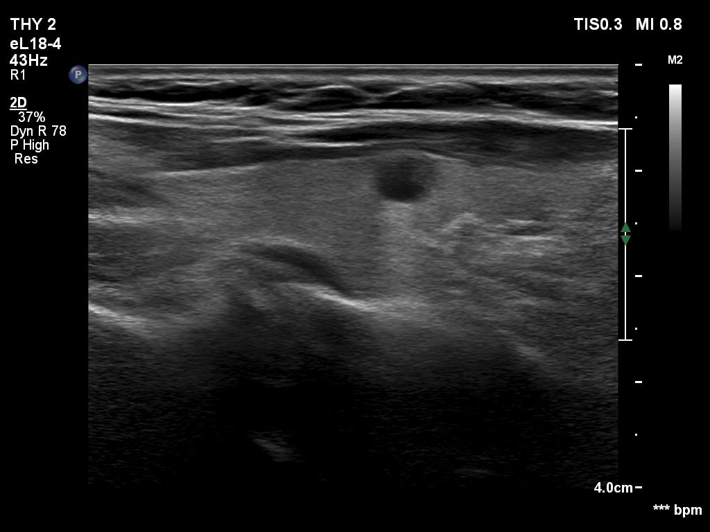
Parathyroid lesions - case 1618
Follow-up investigation 6 months after first visit (ultrasonographic picture 3)
Right lobe, longitudinal view.