Parathyroid lesions - case 1618
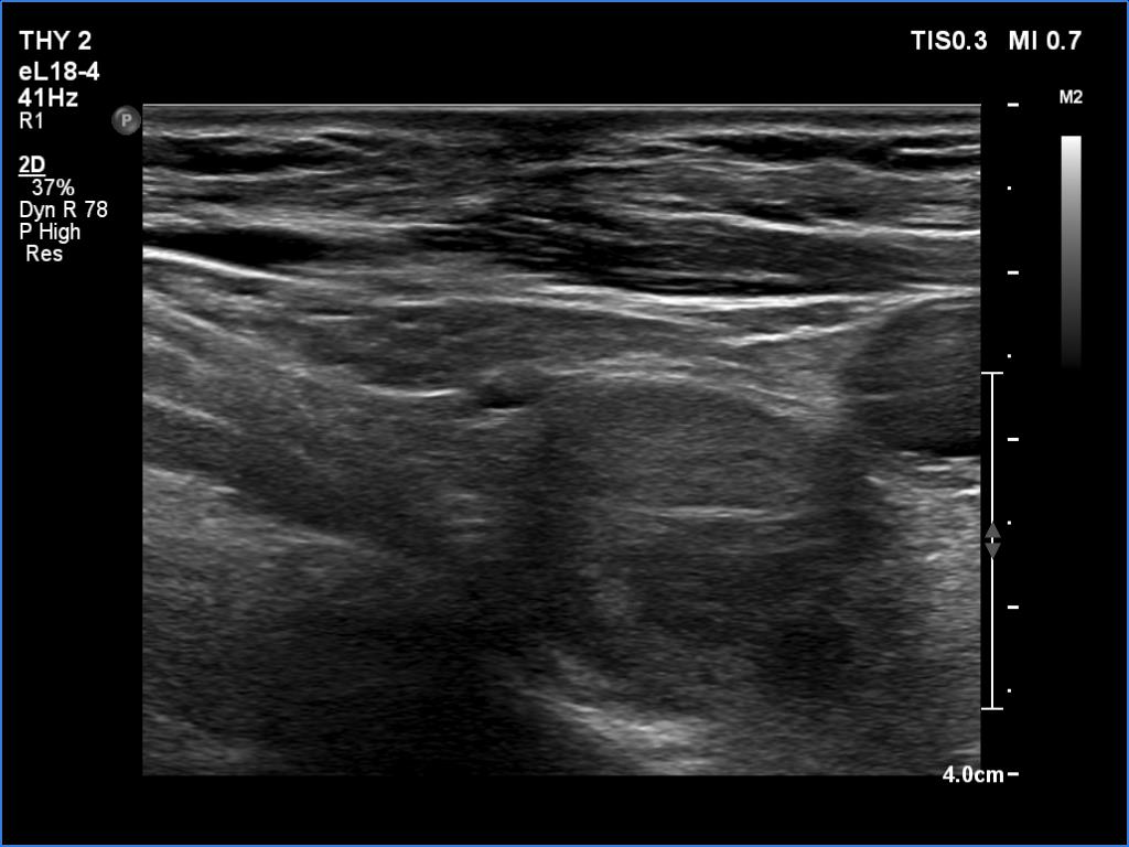
Follow-up investigation 6 months after first visit (ultrasonographic picture 4)
|
|
|
|
Lower to the right lobe, longitudinal view. The large hypoechoic mass is located dorsal and upper to the carotid artery.
