Prev

Parathyroid lesions - case 221

Nodular goiter

Next

Clinical data: A 67-year-old woman came to a follow-up. She underwent subtotal resection of the right lobe 27 years ago. Histopathology disclosed follicular adenoma. We met her for the first time 7 years ago when a hyperechogenic nodule was found in the left lobe. Cytology was benign.

Palpation: a firm nodule in the left lobe.

Laboratory tests: TSH 1.98 mIU/L.

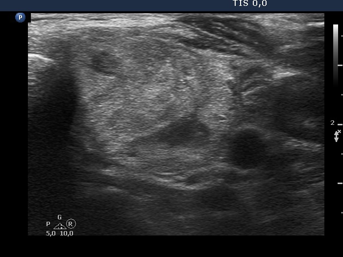
Ultrasonography. The thyroid was echonormal. There was an almost completely cyst in the right lobe. The left lobe was composed of a nodular area composed of multiple discrete lesions. The largest diameter of the nodular mass has increased from 15 mm to 37 mm in the last seven years. The size of the left lobe was 30x20x49 mm 7 years ago while the diameters were 39x23x58 mm at the present examination.

3 mL watery fluid was aspirated form the cyst. There were no cells on the smear. Aspiration cytology was performed from the left nodule, too, and in resulted in benign colloid goiter.

Additional tests: serum-parathormone 58.9 pg/mL (normal value 12-88), parathormone content of the aspirated fluid 2581 pg/mL.

Suggestion: TSH and ultrasound in three years.

Comment. Although the left nodule and lobe has significantly increased, the goiter caused no compression sign. It could disturb the patient, but indeed did not.

 

 

 

 

 

 

 

 

 

 

 

 

mask