Prev

Parathyroid lesions - case cons100_028

Nodular goiter

Next

Clinical presentation: A 32-year-old woman was referred for evaluation of a nodular goiter discovered on screening. A hypoechogenic nodule was found in the right lobe.

Palpation: no abnormality.

Functional state: euthyroidism (TSH 0.94 mIU/L).

Ultrasonography. The thyroid was echonormal and contained a minimally hypoechogenic nodule in the ventral part of the right lobe. There was a cystic lesion under the lower pole of the left lobe.

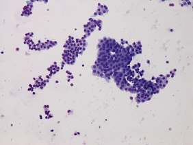
Cytology of the thyroid lesion resulted in benign colloid goiter. 16 mL watery fluid was aspirated from the mass under the thyroid. Wash-out parathormone level of the cystic fluid was 917 pg/mL, while serum parathormone was 24.3 pg/mL (normal value: 15-65).

Final diagnoses. Benign thyroid nodule. Parathyroid cystadenoma.

We advised repeat ultrasonography in 3 months in order to check whether the parathyroid cyst will be relapse or not.

 

 

 

 

 

 

 

 

 

 

 

 

mask