Parathyroid lesions - case 324 |
|
Clinical data: A 64-year-old woman was referred for exact localization of a parathyroid adenoma which was discovered on elevated serum calcium level. Scintigraphy disclosed a small lesion corresponding to the right lower parathyroid.
Palpation: no abnormality.
Laboratory tests: serum-parathormone 157 pg/mL (normal value 12-88).
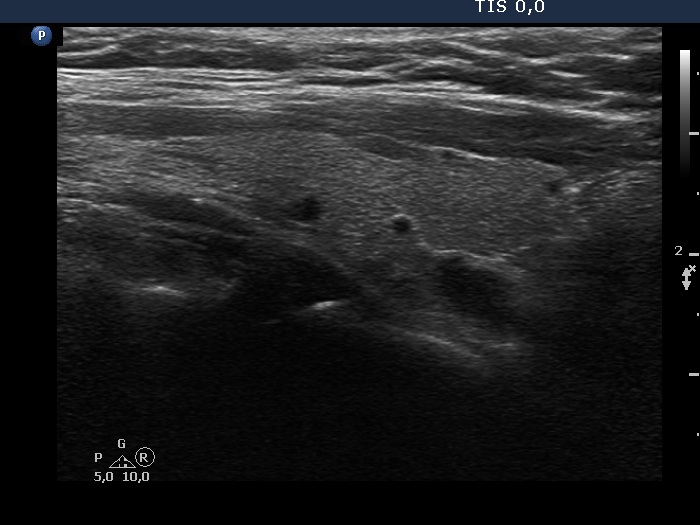
Ultrasonography. The thyroid was echonormal. There was a small cystic or deeply hypoechoic lesion in the lower-dorsal part of the right lobe. The lesion was not avascular. The left lobe has several discrete areas without any clinical or oncological significance.
Ultrasound-guided aspiration cytology resulted in benign lesion.
Additional tests: wash-out parathormone 491 pg/mL (normal value 12-88).
Suggestion: removal of the parathyroid lesion. The patient has so far refused the recommended treatment.





