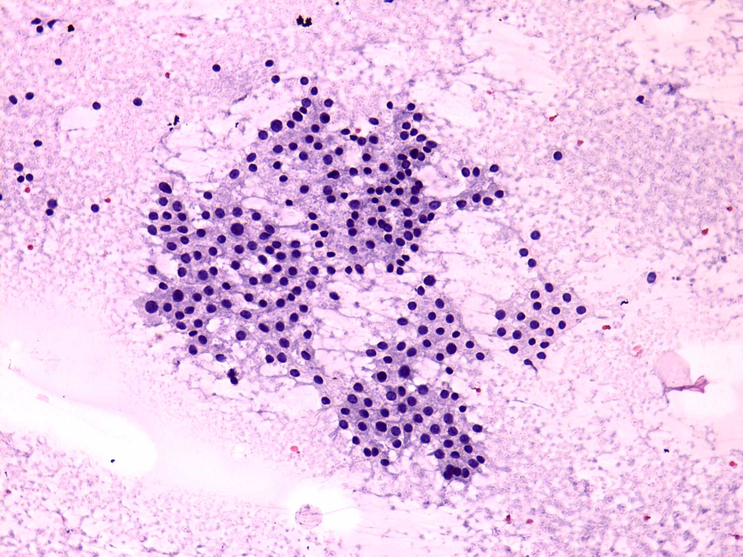
The operated thyroid - case 321 (cytologic picture 2)
|
|
|
![]() |
|
Pap-smear, 200x. Typical presentation of Graves' hyperthyroidism: monolayered clusters of follicular cells displaying anisonucleosis and vacuolization.

