The operated thyroid - case 321 (cytologic picture 3)


Previous picture Back to Case Maximize Next picture

Right lobe, longitudinal scan

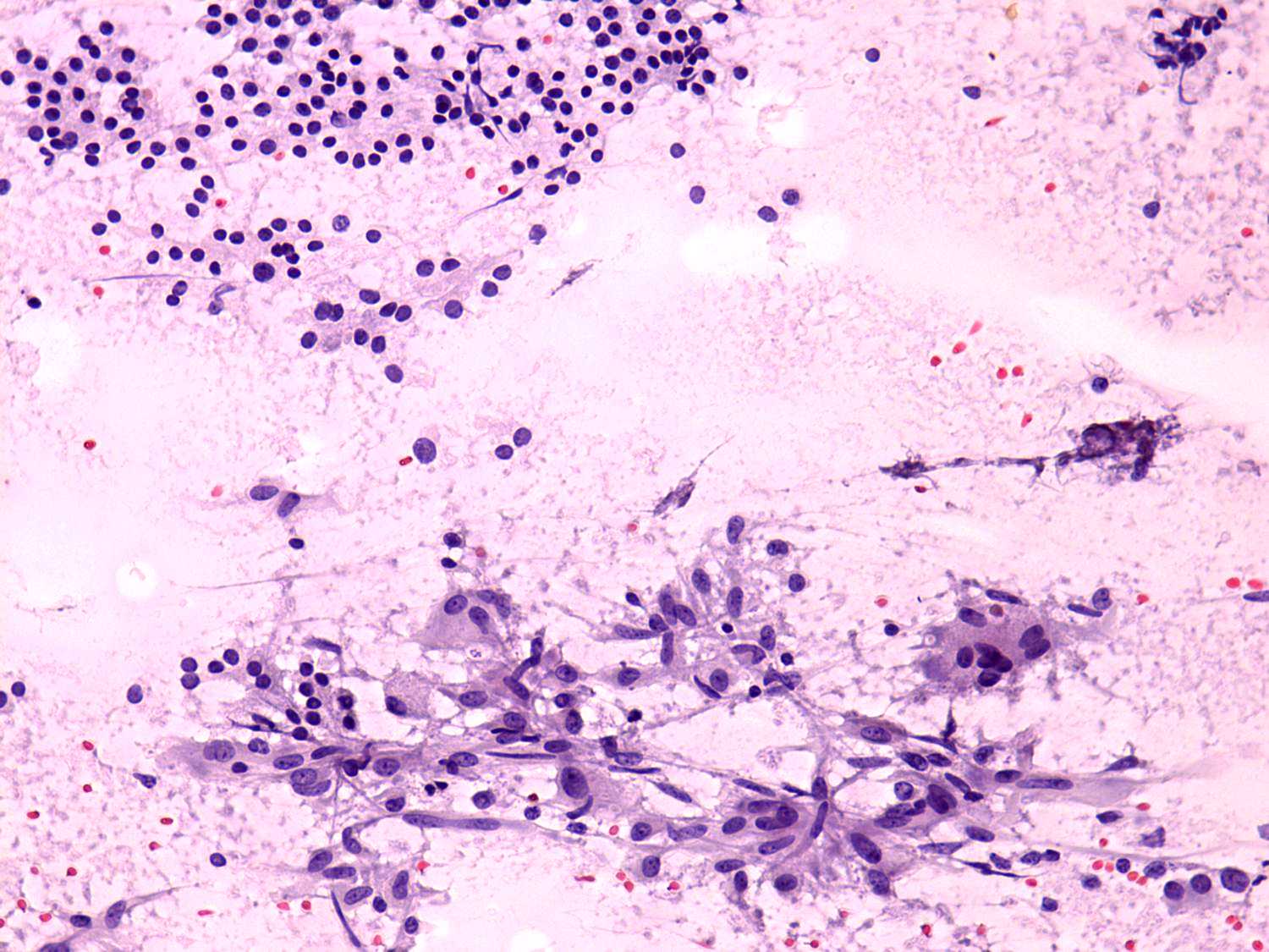
Pap-smear, 200x.   Follicular cells in the upper part while elongated fibrocytes in the lower part of the image.

 

 

 

mask