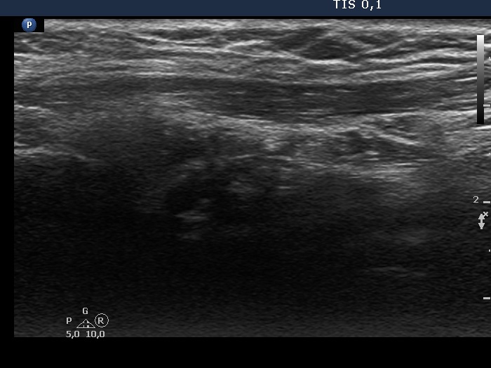
The operated thyroid - case 337 (ultrasonographic picture 7)
|
|
|
|
Left lobe, another longitudinal scan. The hypoechoic mass has upper and lower tails which means that this does not correspond to thyroid tissue but to muscle fiber.
