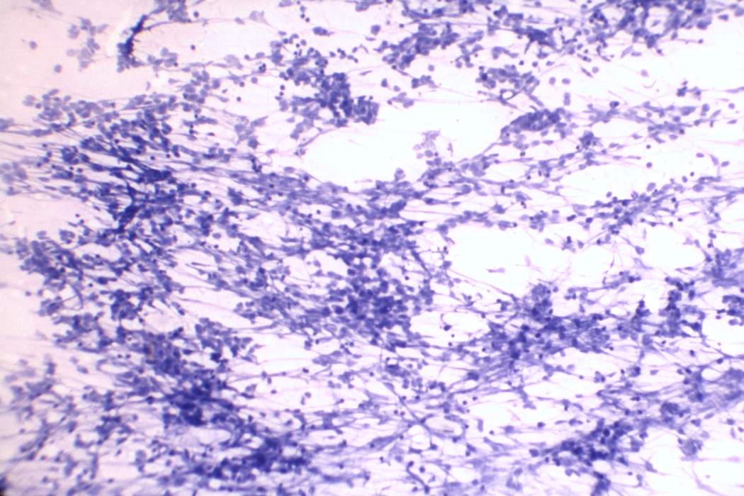
Thyroid cancers - case 1178
(cytologic picture 1 of thyroid smear)
|
|
|
![]() |
|
Pap-smear, 100x. This is a cellular smear. At this low power field, the pattern resembles lymphoid cell population.

