Menu
Home
2 Nodular goiter
3 Non-nodular thyroid
4 Non-thyroid neck
5 US-interventions
6 Advanced courses
Thyroid cancers
Cases
Supplement
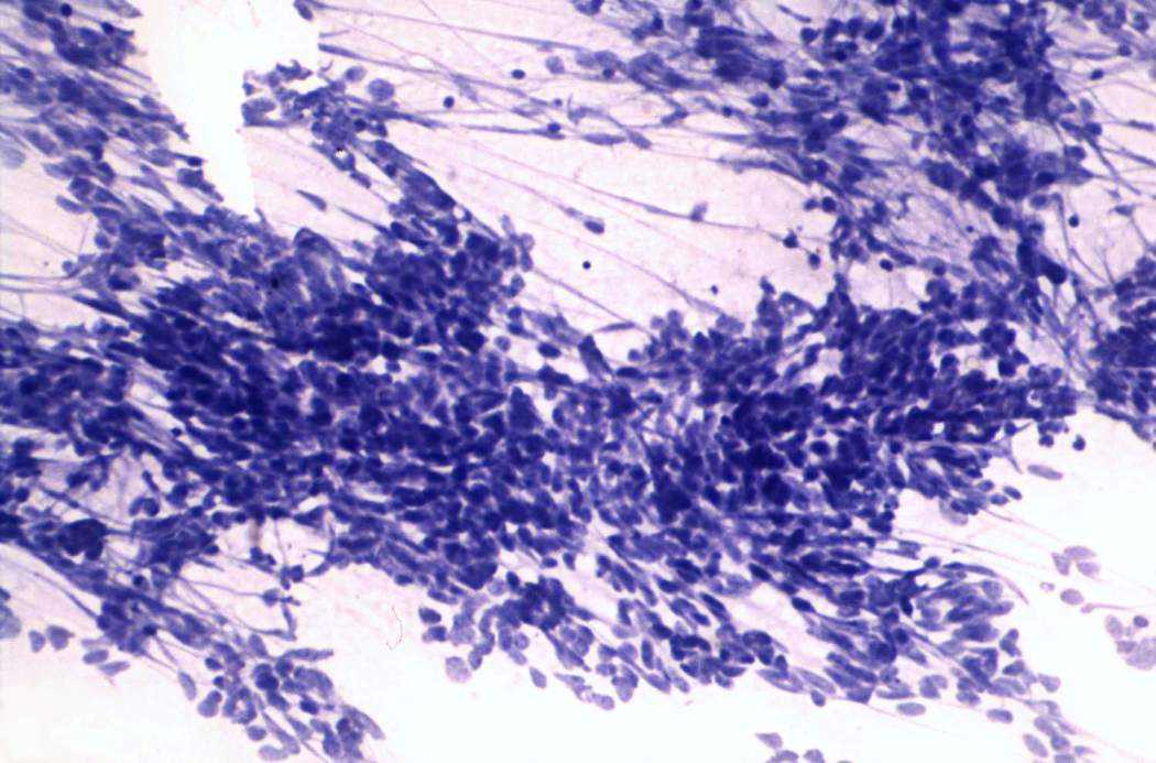
Thyroid cancers - case 1178
(cytologic picture 3 of thyroid smear)
Pap-smear, 200x. Note nuclear overlapping.