Thyroid cancers - case 1178

(cytologic picture 1 of bronchoscopic brush cytology)


Previous picture Back to Case Maximize Next picture

Right lobe, longitudinal scan

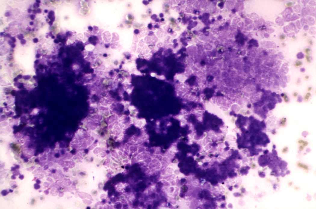
Wright-Giemsa staining, 100x.   Note clusters of naked cells presenting nuclear molding.

 

 

 

mask