Thyroid cancers - case 1463 (cytologic picture 1)


Previous picture Back to Case Maximize Next picture

Right lobe, longitudinal scan

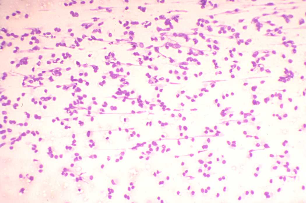
Wright-Giemsa-staining, 100x.   Isolated cells with dendrite-like cytoplasmic projections.

 

 

mask