Thyroid cancers - case 1463 |
|
Clinical presentation: A 44-year-old woman was referred for an evaluation of a nodule discovered on screening.
Palpation: no abnormality.
Functional state: euthyroidism with TSH 2.94 mIU/L.
Ultrasonography revealed an 8 mm hypoechogenic nodule with one coarse hyperechogenic granule without dorsal acoustic shadow. (The patient was evaluated in 1995, therefore the sonographic images are technically out of date. Nevertheless, these are still edifying.)
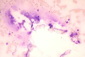
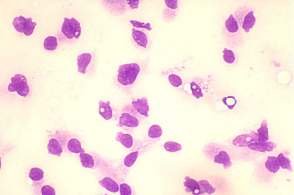
Cytological diagnosis: suspicion of malignancy not otherwise specified.
Immunocytochemistry: LCA, cytokeratin, calcitonin and thyroglobulin reactions were all negative.
Blood test for calcitonin: serum-level of calcitonin was 5.07 pM/L (normal value: 0-3.36).
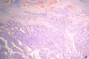
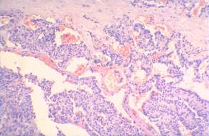
Histopathology: medullary cancer.
Histological specimen courtesy of Dr.Zsolt Orosz, National Institute of Oncology, Budapest, Hungary
Comments.
1. The sonographic pattern is very specific for medullary cancer: cotton-like hyperechogenic patches without acoustic shadow occupying more than 50% of a hypoechogenic nodule.
2. The cytological pattern was not pathognomonic. Nevertheless, the lack of normal follicular arrangement is itself suspicious for a tumor not of follicular cell origin.










