Menu
Home
2 Nodular goiter
3 Non-nodular thyroid
4 Non-thyroid neck
5 US-interventions
6 Advanced courses
Thyroid cancers
Cases
Supplement
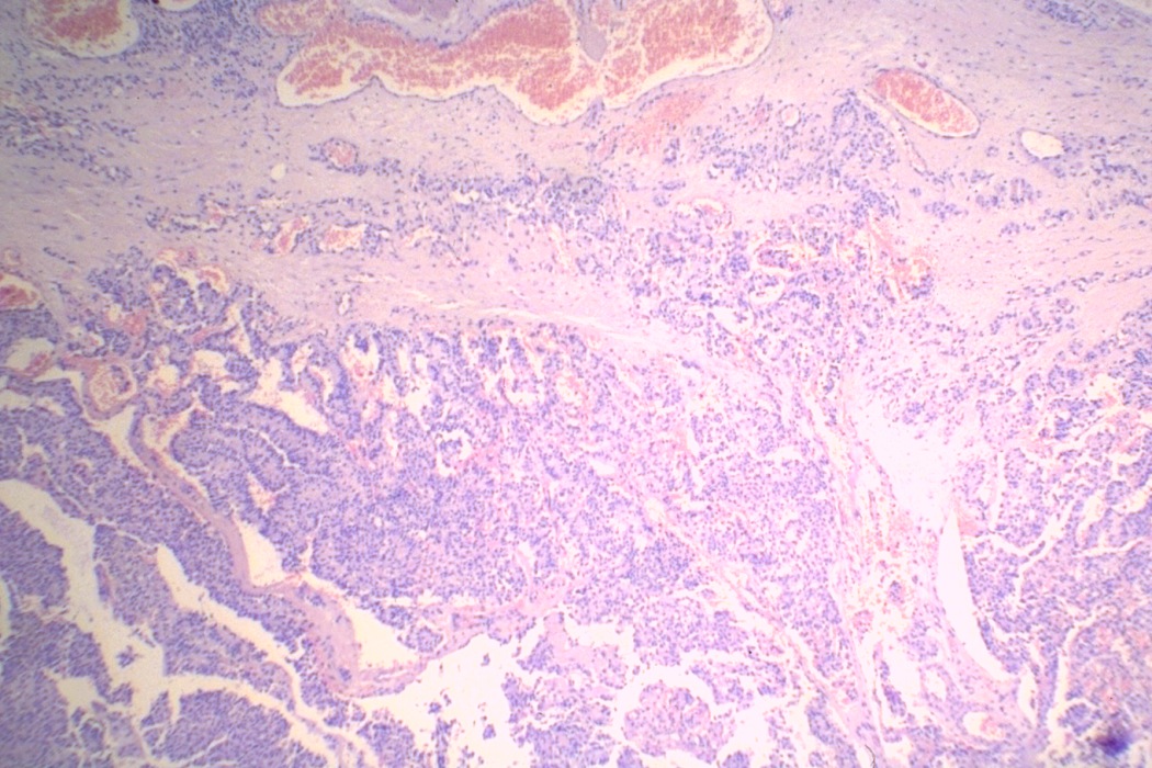
Thyroid cancers - case 1463 (histological picture 1)
H.E.-section, 40x. The tumor infiltrates the capsule of the thyroid.