Menu
Home
2 Nodular goiter
3 Non-nodular thyroid
4 Non-thyroid neck
5 US-interventions
6 Advanced courses
Thyroid cancers
Cases
Supplement
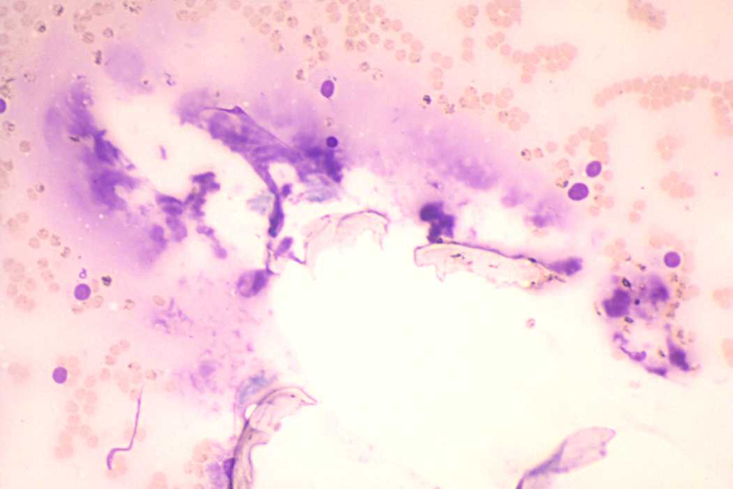
Thyroid cancers - case 1463 (cytologic picture 3)
Wright-Giemsa-staining, 200x. The purple mass corresponds to amyloid deposit.