Thyroid cancers - case 1478 (cytologic picture 2)


Previous picture Back to Case Maximize Next picture

Right lobe, longitudinal scan

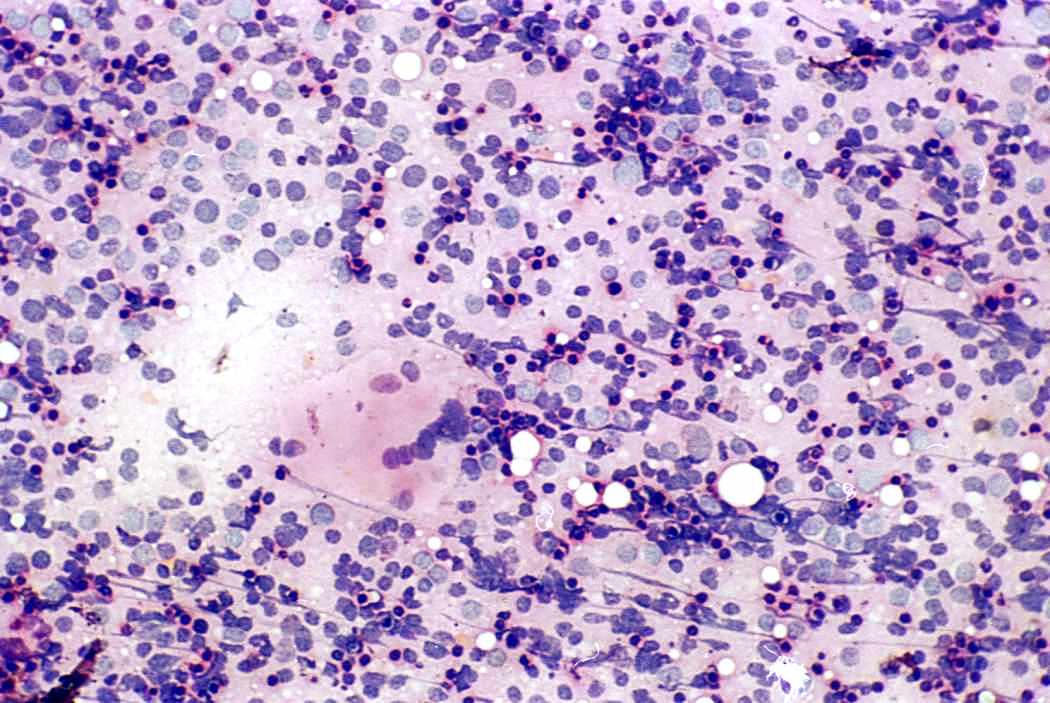
H-E smear, 200x.   Heterogeneous lymphoid cell population mixed with a few oxyphilic cells.

 

 

mask