Thyroid cancers - case 1478 (cytologic picture 3)


Previous picture Back to Case Maximize Next picture

Right lobe, longitudinal scan

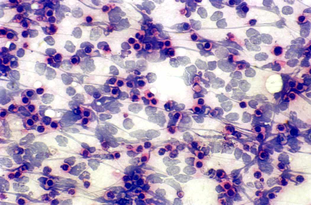
H-E smear, 400x.   A heterogeneous lymphoid cell population with predominance of lymphoblasts.

 

 

 

 

mask