Menu
Home
2 Nodular goiter
3 Non-nodular thyroid
4 Non-thyroid neck
5 US-interventions
6 Advanced courses
Thyroid cancers
Cases
Supplement
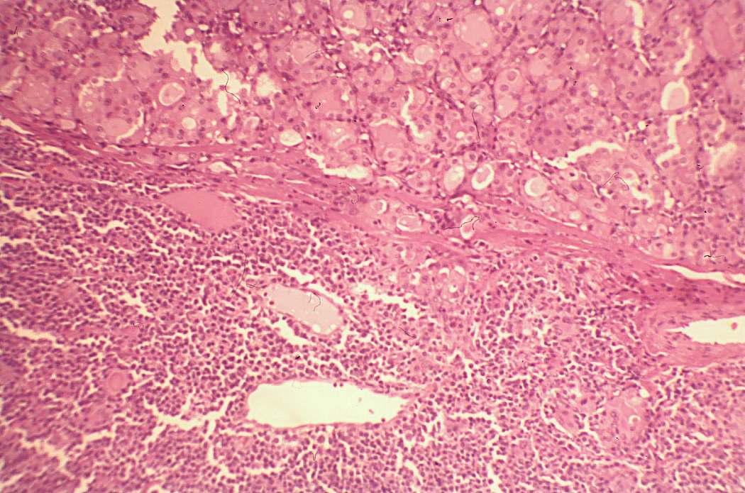
Thyroid cancers - case 1478 (histological picture 3)
H.E. section, 100.x The thyrocytes show cellular and nuclear polymorphism.