Menu
Home
2 Nodular goiter
3 Non-nodular thyroid
4 Non-thyroid neck
5 US-interventions
6 Advanced courses
Thyroid cancers
Cases
Supplement
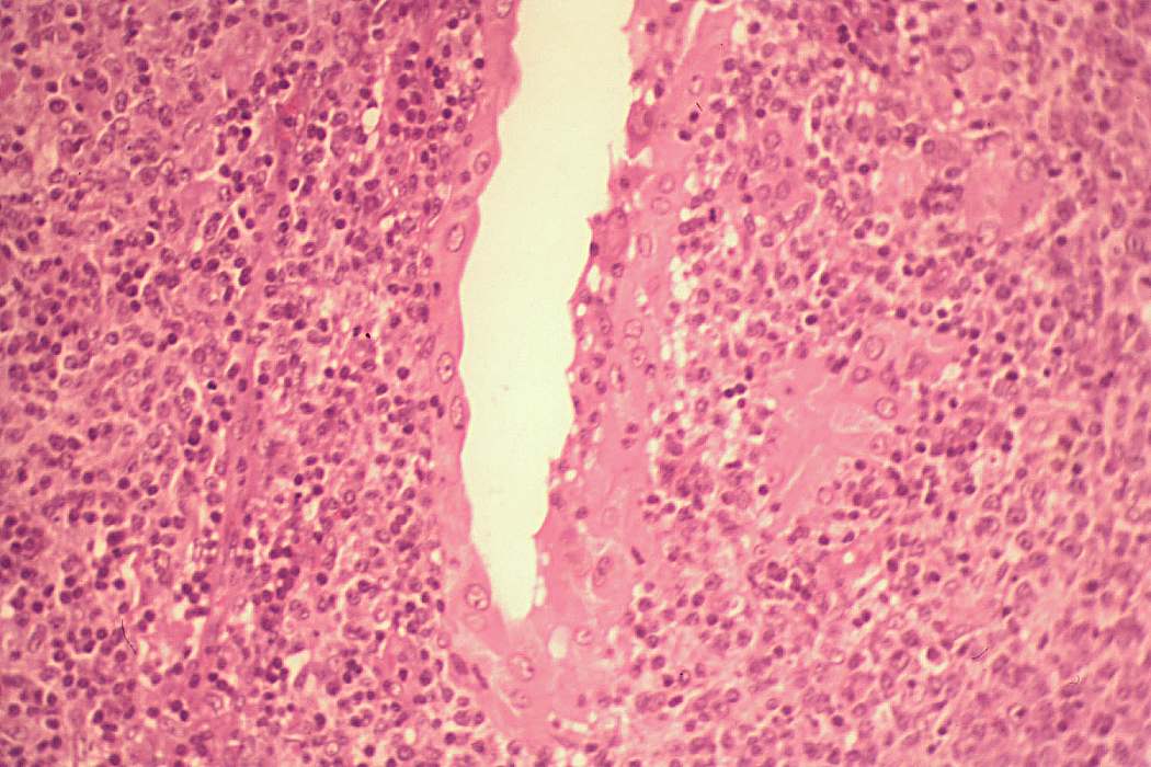
Thyroid cancers - case 1478 (histological picture 4)
H.-E. section, 200x. The thyroid is infiltrated by small non cleaved cells.