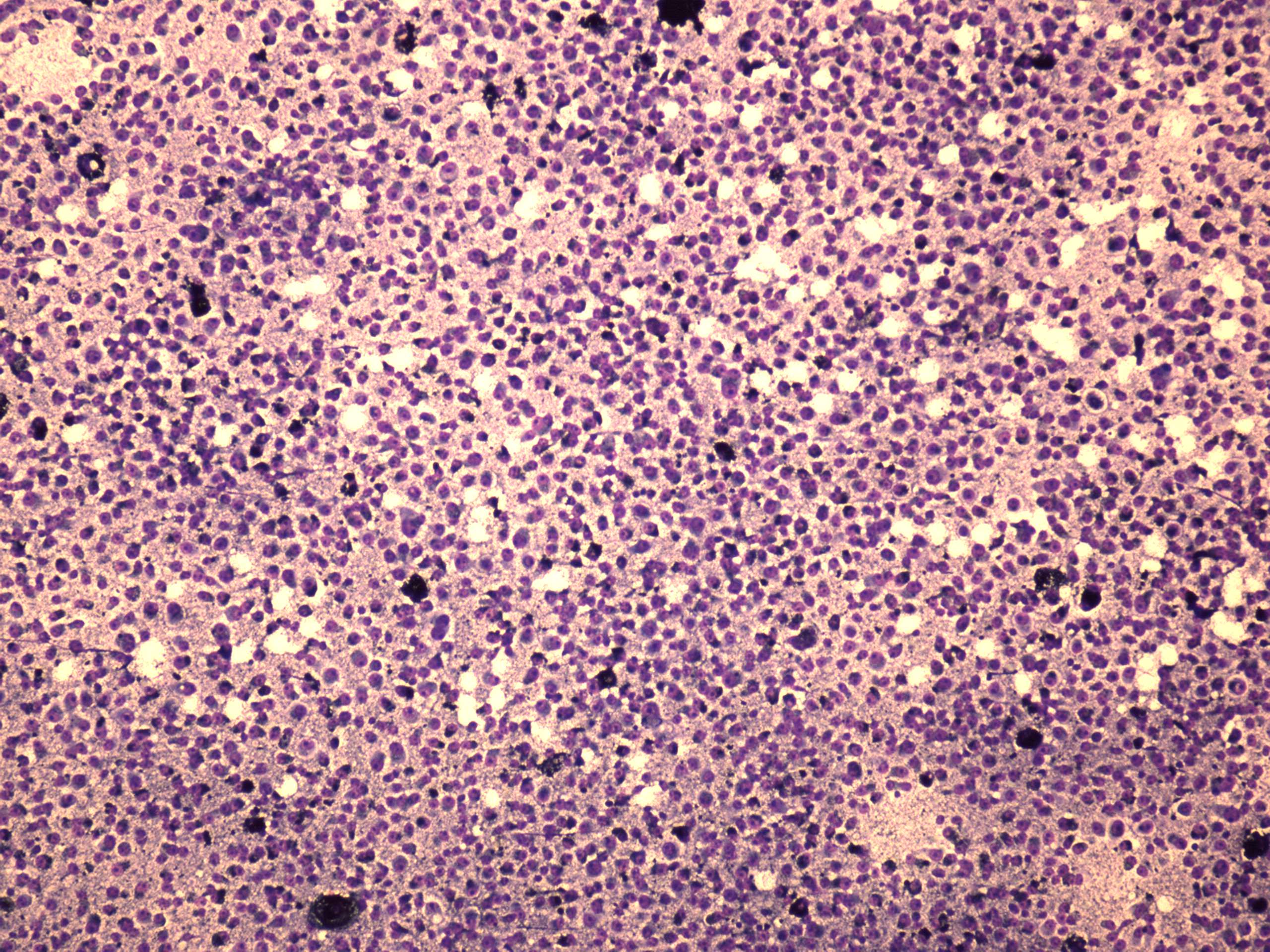
Thyroid cancers - case 1481 (cytologic picture 2 - of another smear)
|
|
|
![]() |
|
Wright-Giemsa staining, 100x. Dispersed naked round cells predominate the smear. These are mixed with macrophages which contain melanin.

