Thyroid cancers - case 1481 (cytologic picture 3 - of another smear)


Previous picture Back to Case Maximize Next picture

Right lobe, longitudinal scan

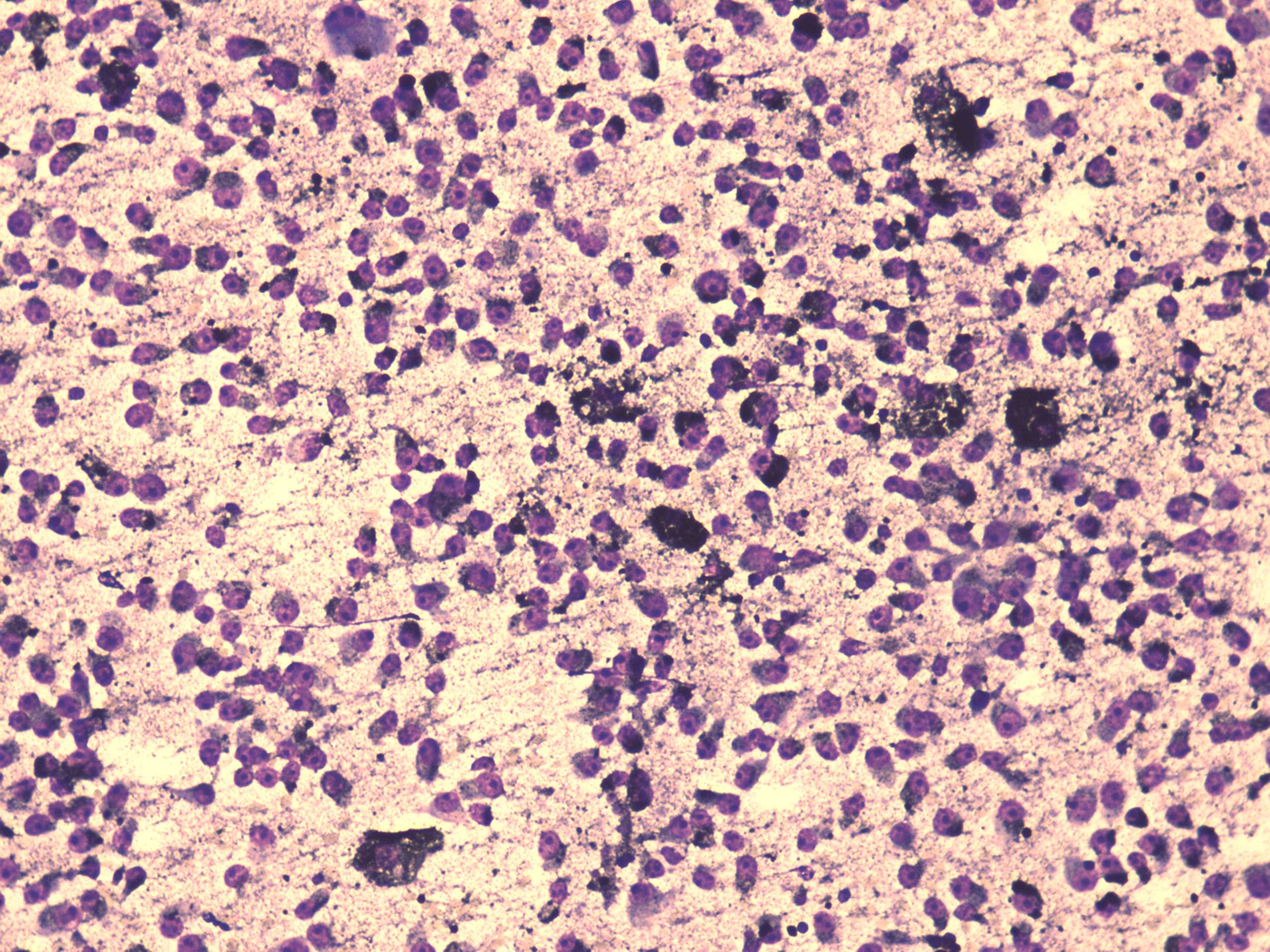
Wright-Giemsa staining, 200x.   The cells have abundant cytoplasm containing melanin pigment.

 

 

 

mask