Thyroid cancers - case 1760 (cytologic picture 4)


Previous picture Back to Case Maximize Next picture

Right lobe, longitudinal scan

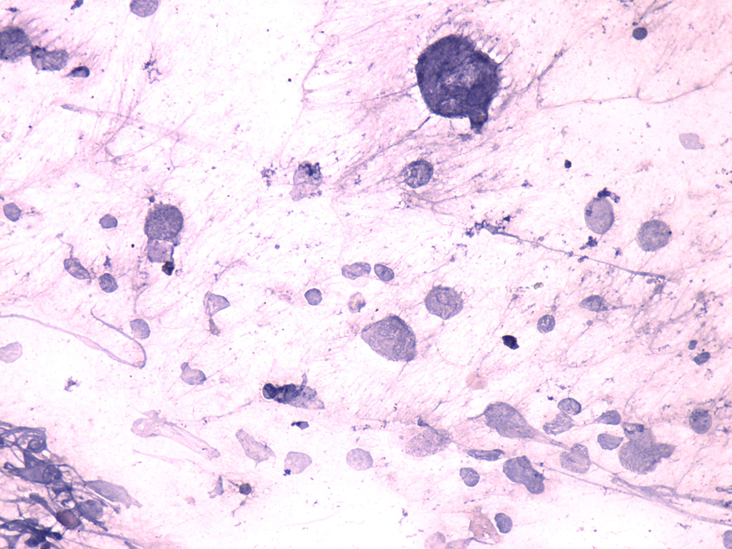
Pap-smear, 400x. Atypical cells with irregular chromatin structure are presented here.

 

 

 

 

mask