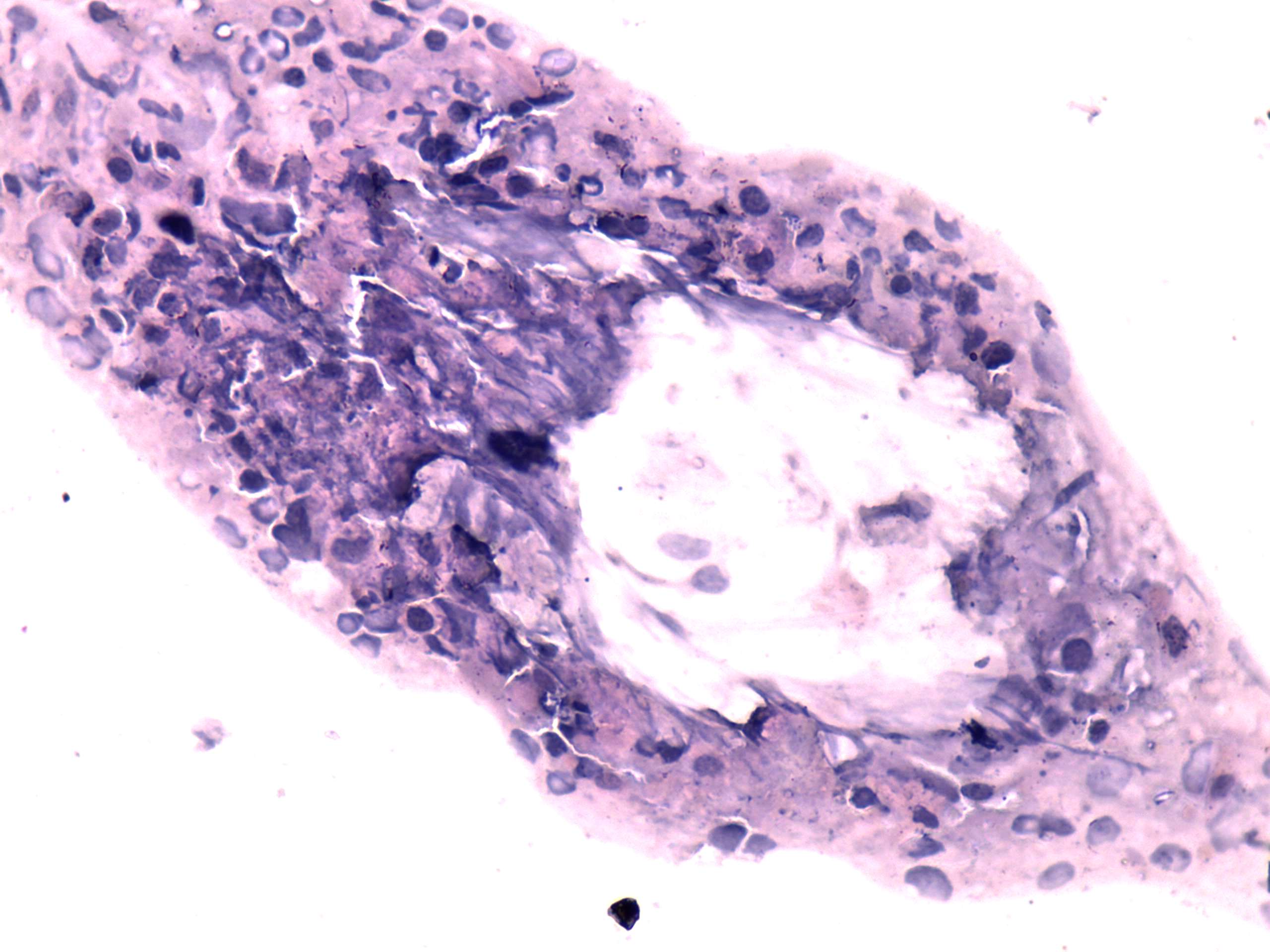
Thyroid cancers - case 1760 (cytologic picture 7)
|
|
|
![]() |
|
Pap-smear, 400x. This is a cell group characteristic of a squamous cell carcinoma: atypical tumor cells including hyperchromatic epidermoid cells mixed with inflammatory cells.

