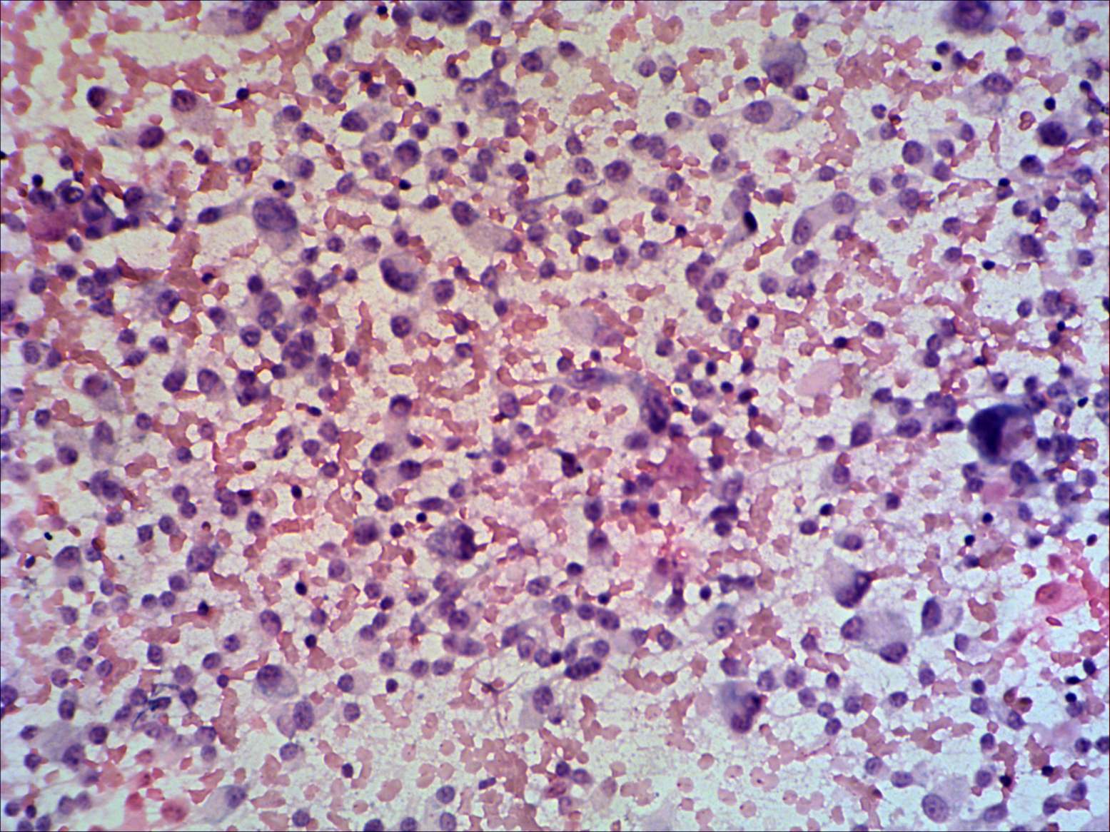
Thyroid cancers - case 617 (cytologic picture 3)
|
|
|
|
|
Pap-smear, 200x. The pattern resembles that of an oxyphilic tumor. The lack of follicular structures argues against, but does not exclude this possibility.

