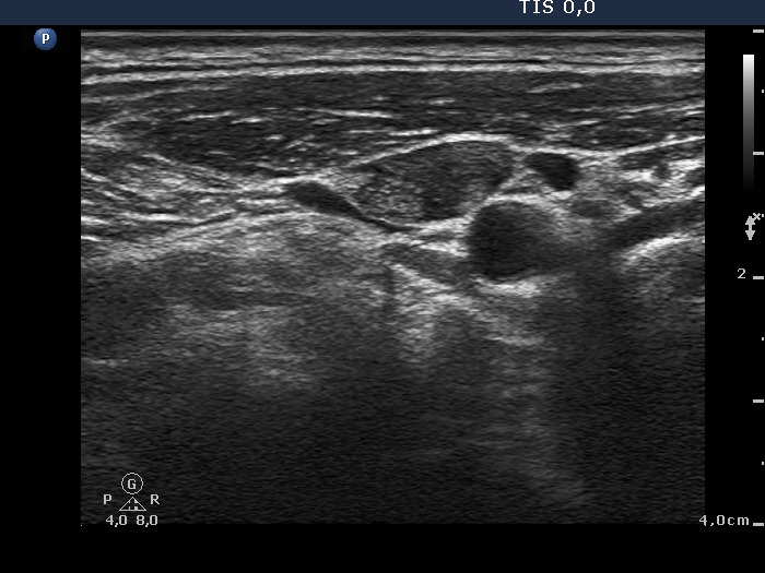
Thyroid cancers - case 678 (ultrasonographic picture 7)
|
|
|
|
Right side of the neck, transverse scan. There is an enlarged lymph node ventral to the artery carotid. There is a hyperechogenic area in the lateral part of the lymph node.
