Thyroid cancers - case 678 |
|
Clinical presentation: A 49-year-old man was referred for an evaluation. He had upper airway infection lasting for 3 months. On ultrasound, an enlarged lymph node in the right side of the neck and a cystic nodule in the thyroid were discovered.
Palpation: an elastic nodule in the right lobe and a firm lymph node lateral to the right lobe.
Functional state: euthyroidism (TSH 2.19 mIU/L).
Ultrasonography. There was a mixed echonormal-cystic nodule in the upper pole of the right lobe. Multiple hypoechogenic smaller lesions were also found in this lobe. Lateral to the thyroid there was an enlarged lymph node with hyperechogenic areas and increased vascularization.
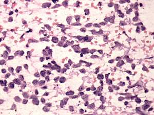
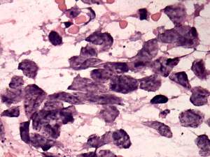
Cytological report: malignant tumor corresponding to metastasis of a small cell lung cancer (both from the small hypoechogenic lesion in the right thyroid and from the lymph node).
The patient was sent to pulmonology, and the evaluation resulted in small cell lung cancer.
Comment. Cytology alone cannot tell from a metastasis what a primary tumor is. Nevertheless, there are certain types of cancer which have a cytological pattern characteristic enough to raise the possibility of a specific primary origin. Small cell lung cancer belongs to these.










