Menu
Home
2 Nodular goiter
3 Non-nodular thyroid
4 Non-thyroid neck
5 US-interventions
6 Advanced courses
Thyroid cancers
Cases
Supplement
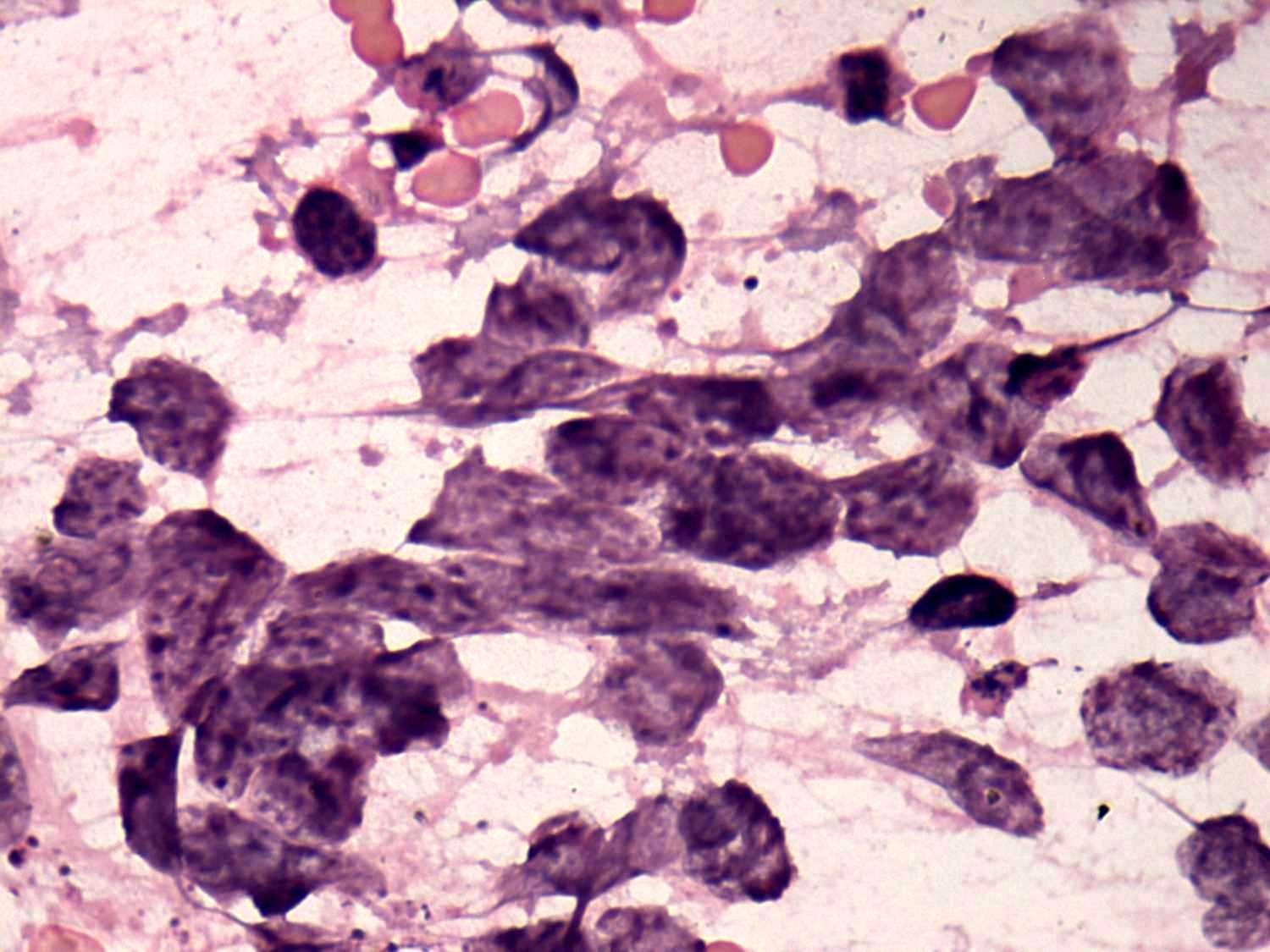
Thyroid cancers - case 678 (cytologic picture 5)
Pap-smear, 1000x. Note the characteristic nuclear molding.