Thyroid cancers - case 678 (cytologic picture 4)


Previous picture Back to Case Maximize Next picture

Right lobe, longitudinal scan

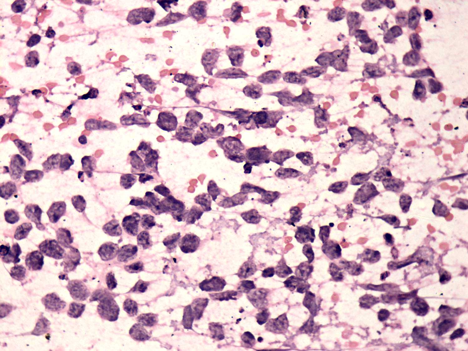
Pap-smear, 400x. The size of the naked, pleomorphic tumor cells is relatively small.

 

 

 

 

mask