Thyroid cancers - case 771 |
|
Clinical presentation: A 53-year-old woman was referred for evaluation of a newly discovered lump in the neck and cough lasting for 6 months.
Palpation: a hard, not freely moveable nodule in the ventral part of the right lobe and enlarged almost fixed lymph nodes in the right side of the neck.
Functional state: euthyroidism (TSH 1.03 mIU/L).
Ultrasonography. There was a hypoechogenic nodule in the right lobe while multiple hypoechogenic lesions were detected in the right side of the neck.
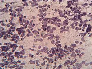
Cytological report: malignant tumor corresponding to metastasis of small cell lung cancer (both from the thyroid and the neck lymph node).
The patient was sent to pulmonology. Bronchoscopy revealed a tumor which proved to be a small cell lung cancer on cytology.
Comment. The differential diagnostic of a small cell tumor diagnosed on cytology involves malignant lymphoma and small cell lung cancer. In this patient there were two conditions which favored the latter. Firstly, the unproductive cough, secondly the palpation finding; a very hard, not freely moveable neck mass is quite specific for a metastic cancer. A malignant lymphoma is usually moveable.









