Menu
Home
2 Nodular goiter
3 Non-nodular thyroid
4 Non-thyroid neck
5 US-interventions
6 Advanced courses
Thyroid cancers
Cases
Supplement
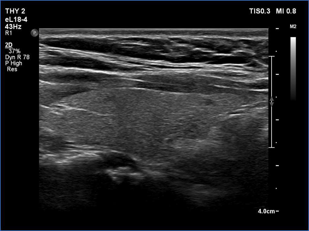
Thyroid cancers - case 842 (ultrasonographic picture 2)
Right lobe, longitudinal scan. The tiny hypoechoic areas have no importance