Menu
Home
2 Nodular goiter
3 Non-nodular thyroid
4 Non-thyroid neck
5 US-interventions
6 Advanced courses
Thyroid cancers
Cases
Supplement
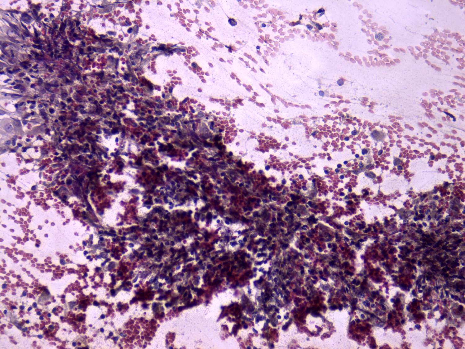
Thyroid cancers - case 867 (cytologic picture 4)
Pap-smear, 400x. A large cluster of lymphocytes and fibrotic elements.