Thyroid cancers - case 867 |
|
Clinical presentation: A 66-year-old woman referred for an evaluation of a rapidly enlarging bilateral thyroid mass. The tumor had evolved over 1.5 month.
Palpation: Both lobes were very hard, not freely moveable.
Functional state: hypothyroidism (TSH-level 21.0 mIU/L, FT4 6.09 pM/L, aTPO > 1000 U/L).
Ultrasonography. Both lobes were extremely enlarged, the dimensions of the right lobe was 75x55x120 mm. The whole thyroid was severely hypoechogenic, inhomogeneous. The vascularization was irregularly increased.
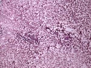
Cytological picture corresponded to Hashimoto's thyroiditis with a greater ratio of lymphoblasts to small lymphocytes than in usual cases of thyroiditis.
Final combined clinical-ultrasound-cytological diagnosis: suspicion of a MALT-type lymphoma.
Biopsy and histopathology: MALT-type lymphoma of the thyroid.
Comment. The clinical presentation and patient history are the essence of the diagnosis of a MALT lymphoma of the thyroid. The primary role of cytology in such cases is the exclusion of an anaplastic carcinoma and to raise the possibility of MALT lymphoma.










