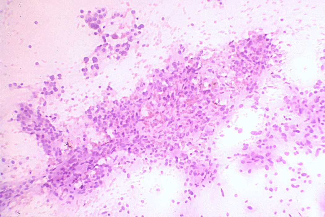
Thyroid cancers - case 921 (cytologic picture 2 of another smear)
|
|
|
![]() |
Pap-smear, 200x. Such large cluster of follicular cells would be a common finding in hyperplastic nodules. On the other hand, the distribution of cells within the large group is irregular, the cells do not show normal polarity. Note the difference between the nuclei in the large cluster and in the cell group in the upper left part of the image.

