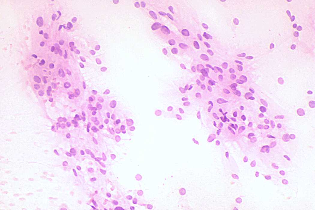
Thyroid cancers - case 921 (cytologic picture 3 of another smear)


Previous picture Back to Case Maximize Next picture

Right lobe, longitudinal scan

Pap-smear, 200x.   Note elongated atypical cells and loss of polarity of cells within the clusters.

 

 

 

mask