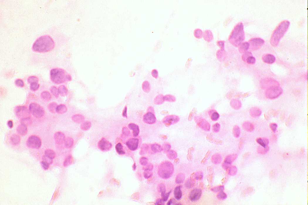
Thyroid cancers - case 921 (cytologic picture 4 of another smear)


Previous picture Back to Case Maximize Next picture

Right lobe, longitudinal scan

Pap-smear, 400x.   Thyrocytes arranged in abortive microfollicles. Note two pleomorphic forms in the left side of the image.

 

 

 

mask