Thyroid cancers - case 921 (cytologic picture 5 of another smear)


Previous picture Back to Case Maximize  

Right lobe, longitudinal scan

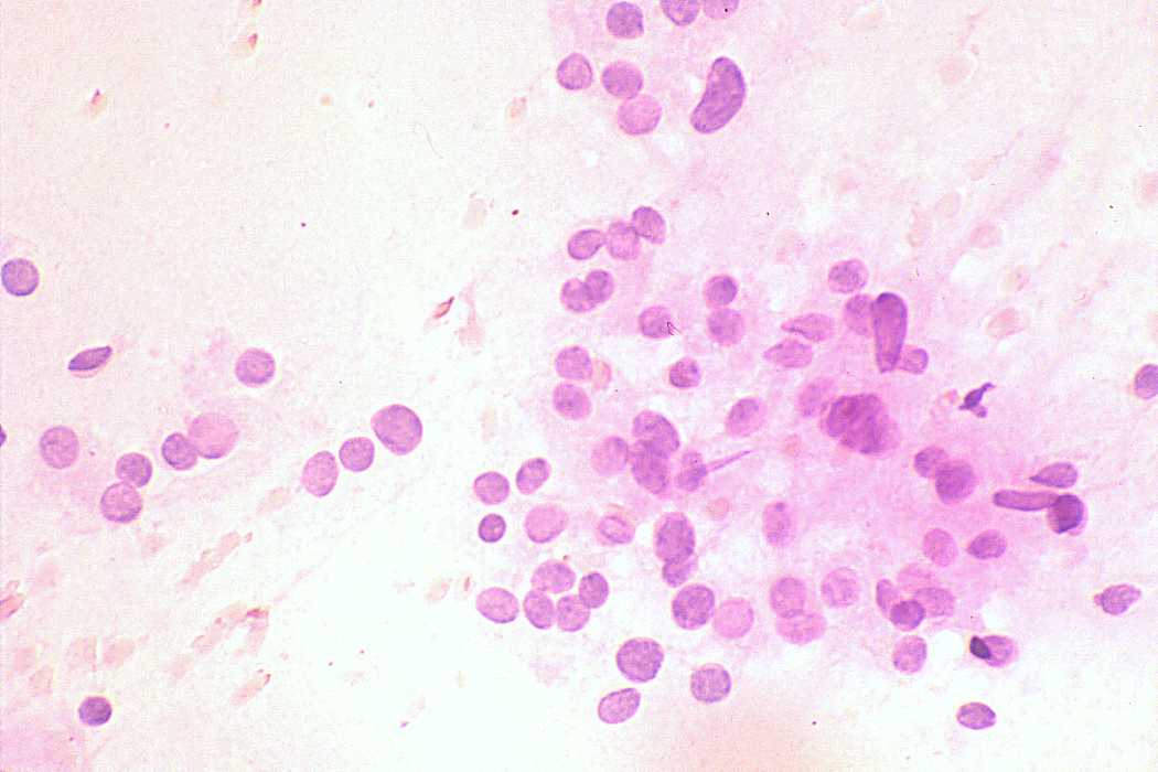
Pap-smear, 400x.   Abortive microfollicles can be identified. There are pleomorphic elongated, hyperchromatic nuclei.

 

 

 

mask