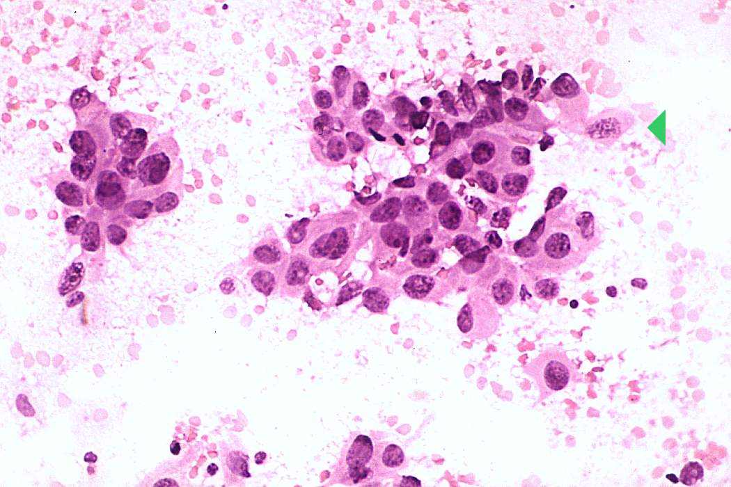
Thyroid cancers - case 996 (cytologic picture 4)
|
|
|
![]() |
|
Pap-smear, 400x. Note irregular chromatin structure and an atypical mitosis (arrow). The latter is only very rarely seen in smears of well-differentiated thyroid cancer.

