Thyroid cancers - case 996 |
|
Clinical presentation: A 51-year-old woman was referred for FNAC of a suspected metastasis of a breast cancer to the thyroid. She has been operated for ductal invasive breast cancer on the left 6 months earlier. Ultrasonography of the thyroid revealed a multinodular goiter.
Palpation: the presence of a nodule in the right lobe was questionable.
Functional state: euthyroidism.
Ultrasonography. There were two hypoechogenic nodules in the right lobe.
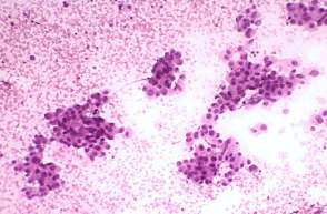
Cytological diagnosis: malignancy, i.e., a cytological picture corresponding to a metastatic breast cancer.
Thyroglobulin immunocytochemistry: negative result.
Further evaluation of the patient revealed metastasis in the lung and in the liver.
Comment. The knowledge of the clinical history was essential because in most cases a reliable cytological distinction between a metastatic breast cancer and a papillary or oxyphilic cell carcinoma of the thyroid is not possible.







