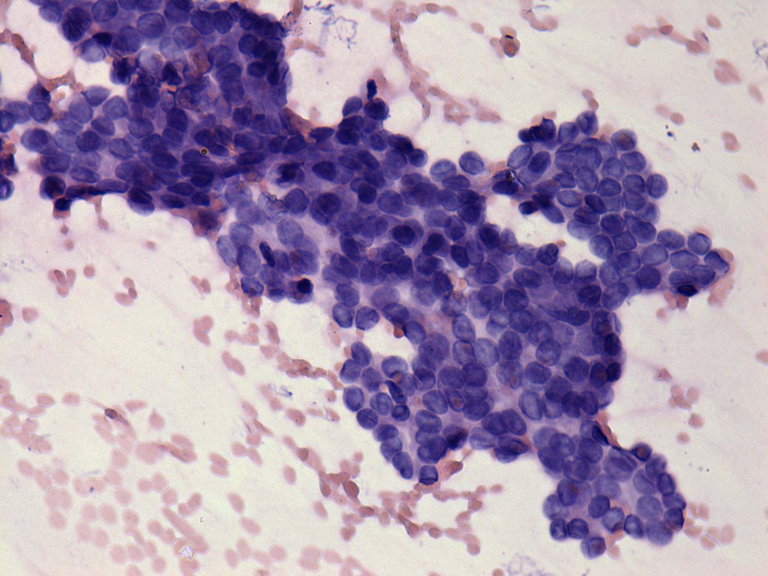
Consecutively operated patients with autoimmune thyroid disease - case 37 (conp 033) (cytologic picture 4 of another smear)
|
|
|
![]() |
|
Pap-smear, 400x. The distribution of cells suggests papillary carcinoma - atypical nuclei presenting overlapping are located in papillary cell groups.

