Menu
Home
2 Nodular goiter
3 Non-nodular thyroid
4 Non-thyroid neck
5 US-interventions
6 Advanced courses
Supplement
Supplementum
Chapter Home
Nodular goiters
Papillary cancers
Day 1 in thyroid unit
TIRADS study
Hashimoto's cases
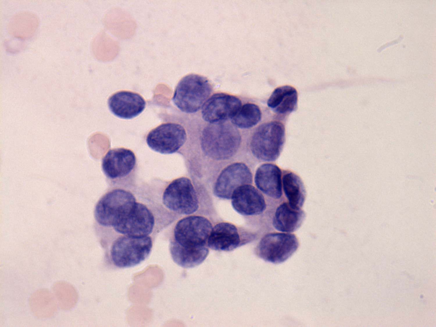
Consecutively operated patients with autoimmune thyroid disease - case 37 (conp 033) (cytologic picture 5 of another smear)
Pap-smear, 1000x. The chromatin is scratched.